
Gum Disease Treatment – Flint, MI
Stop Gum Pain with Effective Treatment!
Many people tend to only think about teeth when they think about oral health. After all, it’s what you’re mainly focused on when brushing and flossing. However, gum health is equally important as your teeth because without it, your teeth wouldn’t have a foundation to live in! Plus, gums are responsible for many important functions, so it’s essential to keep them healthy and treat them when they experience infection. If your gums feel tender or inflamed, call our dental office to schedule your next appointment for gum disease treatment in Flint, MI!
Why Choose Dr. Chitra P. Naik, DMD for Gum Disease Treatment?
- Gentle and Effective Scaling and Root Planing Treatment
- Friendly and Accommodating Dental Office and Dentist
- Caters to Patients of All Ages
What is Gum Disease?

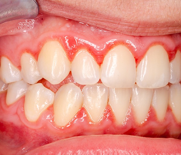
Gum disease is a bacterial infection that targets the soft oral tissues that surround teeth and help hold them in place. In its initial stage, it can cause bleeding, swelling, and redness – gingivitis – and its symptoms can be reversed with regular cleaning and good at-home oral hygiene. However, if it progresses, it can cause recession and gum pocket formation, allowing the infection to spread closer to the root and bone. Without treatment, it can lead to bone resorption and tooth loss.
Symptoms of Gum Disease

Knowing what kind of symptoms can arise as a result of gum disease can be essential when seeking professional treatment. If you notice any of the following, do not wait to call our office for help:
- Bad breath (halitosis)
- Bleeding and swollen gums
- Gum recession or teeth appearing elongated
- Tooth sensitivity
- Bleeding and inflamed gums
- Red, tender gums
- Difficulty chewing
- Changes in your bite
- Tooth loss
How Do We Treat Gum Disease

Treating gum disease requires that Dr. Naik carefully evaluate the severity of the infection before determining the most effective way to address the problem. Our office is pleased to offer scaling and root planing as a safe and highly effective way to improve gum health.
Scaling & Root Planing

Often considered the gold standard of gum disease treatment, scaling and root planing are done in tandem when your gums have become infected. Scaling is the process of removing plaque from areas of teeth that cannot be reached with at-home care or a professional cleaning, such as beneath the gumline. Root planing is the process of smoothing out the tooth roots so they can better reattach to the teeth. This also helps reduce the risk of future infections. Keep in mind that scaling and root planing takes multiple appointments to complete, roughly every three to four months.
